審美治療
- HOME
- 審美治療
審美治療とは
審美治療とは、⻭を綺麗にするということですが、本当の審美治療は、ただ単に⻭をきれいにするだけでなく、⻭と⻭茎の健康も取り戻し、お⼝の中全体を健康で美しくするということなのです。
当院で⾏っている審美治療には以下の種類があります。
当院で⾏っている審美治療には以下の種類があります。

インレー/オンレー
むし⻭治療等の際に削った部分に、通常の⾦属や樹脂の詰め物に代わりに⼊れる詰め物です。
通常の詰め物と⽐べて天然⻭と同様の⽩い⻭になる為、審美的にも向上します。
![]() |
![]() |
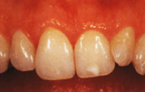
ベニア
変⾊した⻭や⽋けた⻭に、うすいセラミックを接着剤を⽤いて装着する、とても審美性に優れたものです。
![]() |
![]() |
クラウン/ブリッジ
⻭科治療等で⻭を削ったところに、⻭の形に作ったセラミックの冠(クラウン)を被せる⽅法のことです。
⾦属の被せ物を⽩くしたい場合や、変⾊したプラスティック(レジン)を⽩くしたい場合等に選択されます。
![]() |
![]() |
オールセラミック
全てをセラミック(陶器)を使⽤して製作した素材です。
⾦属を使⽤しないため⾒た⽬が天然⻭に近く、⾦属アレルギーの⼼配もありません。
ホワイトニング
ホワイトニングとは、薬剤を⻭の表⾯に塗布して⻭を漂⽩する⽅法で、院内で処置を⾏うオフィスホワイトニングと、⾃宅でできるホームホワイトニングがあります。
ホームホワイトニングとは、ご⾃宅で寝る前に、⻭を⽩くする薬剤を⼊れたマウスピースを装着して⻭を⽩くします。
通院する必要が無く、忙しい⽅におすすめします。
1⽇2〜3時間程度、2週間ぐらい続けていただくのが⽬安です。






